Sana Praevention in Deutschland
Mehr Sicherheit – durch modernste Hightech-Medizin
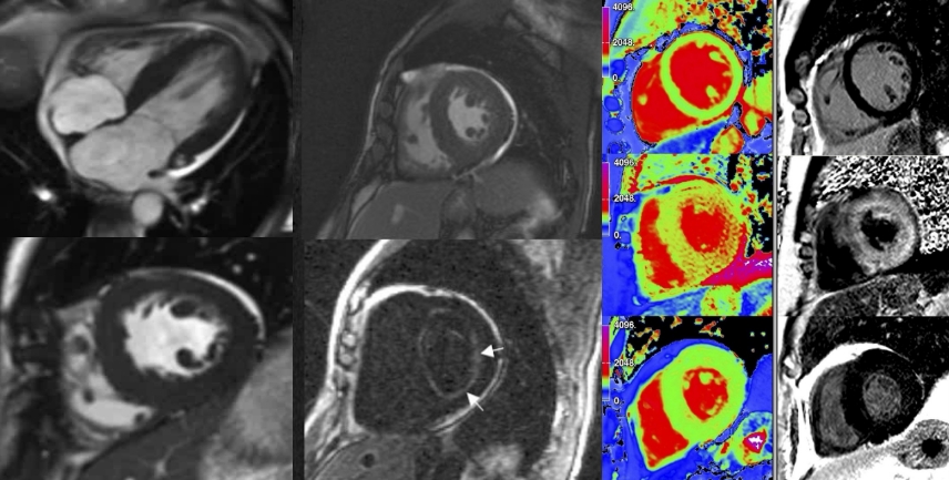
Früherkennung rettet Leben: Mit modernster Diagnostik schaffen wir im Sana Praevention München Schwabing die Grundlage für eine exakte Beurteilung Ihrer Gesundheit. Unser Schwerpunkt liegt auf hochauflösender Bildgebung wie Ganzkörper-MRT und Herz-CT, die auch kleinste Veränderungen sichtbar machen – lange bevor Symptome auftreten. So lassen sich Herz-Kreislauf-Erkrankungen, Tumoren oder andere Risiken frühzeitig erkennen und gezielt behandeln.
Dank der Kombination aus innovativer Medizintechnik, umfassender Laboranalytik und individueller ärztlicher Beratung erhalten Sie ein detailliertes Gesundheitsprofil. Dieses Wissen gibt Ihnen Klarheit und ermöglicht, gemeinsam mit unserem Team präzise Präventionsstrategien zu entwickeln.
Unser Diagnostikbereich ist mit modernster Technologie ausgestattet und garantiert eine Untersuchung auf höchstem medizinischen Niveau – in angenehmer, ruhiger Atmosphäre. Mit Sana Praevention gewinnen Sie Sicherheit und Gelassenheit, wenn es um Ihre Gesundheit geht.





